Most Americans who celebrate Christmas look forward to getting a bushy conifer for their living rooms in December. A fresh tree smells so good that we can almost believe we're in the woods. Candle companies sell vast quantities of scented pillars with names like "Siberian Fir" for those folks who just can't get enough of the pungent green aromatic. That being said, imagine getting an early gift of not one tree but 4,584 acres of prime California forestland? That's what happened last month when the UC Center for Forestry was notified that it would receive two huge parcels of former utility land on which to conduct research. To be clear:
Tags: CA, Southwest, 2012, Berkeley, BioResearch Product Faire Event, green life science research, UC Berkeley, UCBerk, 2011
QPASS stands for Quantitative Parallel Aptamer Selection System, and bioengineers at the University of California, Santa Barbara (UCSB) and their colleagues at the Morgridge Research Institute in Wisconsin have just received $3.2M to pursue this research into development of a highly efficient system of generating nucleic acid molecules. The end product will be a lab-on-a-chip microfluidic device for instantly detecting disease in a clinical setting, with results that are far more accurate and precise than previous technologies.
Tags: CA, Southwest, 2012, BioResearch Product Faire Event, UCSB, Santa Barbara, 2011, UC Santa Barbara
Tags: 2012 Research Funding, University of Hawaii, 2012, BioResearch Product Faire Front Line Event, HI, 2011, Manoa
November is Diabetes Awarness Month and November 14th is World Diabetes Day. With that we would like to feature Harvard Medical School's Dr. Denise Faustman, who has been awarded the 2011 George and Judith Goldman Angel Award for her biomedical research on a cure for Type 1 diabetes.
Tags: biomedical research, Northeast, 2012, Boston, BioResearch Product Faire Event, MA, Harvard, Harvard Medical School, National, 2011
What happens when you bring together a pathologist with a group of computer scientists specializing in quantitative light imaging? In the recent case of research colleagues at the University of Illinois Urbana-Champaign (UIUC), you get a very promising solution to the problem of analyzing large groups of red blood cells for abnormalities that may point to serious diseases such as sickle cell anemia and malaria.
Tags: Midwest, University of Illinois, Photonics, Urbana-Champaign, cell biology, 2012, UIUrbana, BioResearch Product Faire Event, IL, scientific sales, 2011
Following up on our much-read April 2011 blog on Biomedical Building News at UCSD, we are pleased to report that the following UCSD medical facilities have celebrated their grand openings:
Tags: CA, biomedical research, Stem cell research, New research facilities, new science wet labs, Southwest, 2012, San Diego, SDVS, Genomics, UC San Diego, LEED, Biotechnology Vendor Showcase Event, 2011
When the Bio5 Institute's new building opened in 2007 north of Speedway on the University of Arizona (UA) campus in Tucson, it signalled a new period of growth and innovation that would link the UA Medical Center with interdisciplinary biomedical and life science research on the main UA campus. The Bio5 building, also known as the Thomas W Keating Bioresearch Building (and formerly named the Institute for Biomedical Sciences & Biotechnology [IBSB]) is "a high-tech laboratory facility supporting interdisciplinary molecular life sciences research."
Tags: University of Arizona, New research facilities, Southwest, BioResearch Product Faire Front Line Event, Arizona, AZ, UAZ, Research, Tucson, 2011
Despite a challenging economic climate, Michigan State University (MSU) in East Lansing is thriving and continues to develop strong research programs. Currently the university is working on constructing a $40-million bioengineering facility, along with other building projects in progress that include the Bott Building for Nursing Education and Research and a state-of-the-art Plant Science Building. When completed, these buildings will add to an already strong research hub at MSU.
Tags: Michigan State University, Midwest, 2012, BioResearch Product Faire Event, Research Funding, MI, research laboratories, East Lansing, MSU, 2011

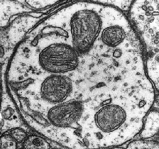
In perhaps the crowning achievement of a decade of work, a group of Harvard University researchers have identified the specific protein responsible for calcium absorption in mitochondria, solving a long-standing and crucial problem for our understanding of an essential cellular component.
Drawing on resources such as "the Human Genome Project, freely downloadable genomic databases, and a few tricks," as Vamsi Mootha, the project leader and associate professor of systems biology at Harvard Medical School, put it, the project represents a significant step forward for the field and should open the door to treatment of a number of diseases thought to be related to calcium deficiency in mitochondria. Particularly remarkable about the study is its synthesis of recently-developed cellular and genomic technologies to solve the problem.
Tags: Northeast, cell biology, genome research, 2012, Boston, BioResearch Product Faire Event, 1 day only, Genomics, MA, Harvard, Harvard Medical School, 2011
The NIH has just announced that the Electronic Medical Records and Genomics (eMERGE) consortium of seven US medical research institutions has received an additional $25M in funding for Phase II of a series of projects to study how genetic information in patients' medical records can be used to improve their care. As genome sequencing becomes increasingly affordable and more widely done, translational research is needed to show physicians how they might respond to indicators of genetic predisposition to disease in their treatment programs. The eMERGE network was formed in 2007 "to develop, disseminate, and apply approaches to research that combine DNA biorepositories with electronic medical record (EMR) systems for large-scale, high-throughput genetic research," according to the National Human Genome Research Institute (NHGRI) branch of the NIH.
Tags: Mount Sinai School of Medicine, Northeast, Vanderbilt University, University of Washington, WA, Northwest, Translational Research, New York, MSSM, BioResearch Product Faire Event, Genomics, NY, NIH, Seattle, Biomedical Research Funding, Nashville TN, 2011


