Looking to 2018, lab equipment companies can benefit from participating research product vendor shows held at the top funded research universities in the Midwest. These universities often outrank their eastern and west coast rivals in terms of research funding available, and ongoing purchasing.
Tags: Midwest, UW, Midwest life science marketing events, WI, UW Madison, MI, MO, Madison, OH, St Louis, MSU, UCinci, Midwest Region, Univ of Michigan, Minn, Michigan State
Benefit from these upcoming midwest vendor shows and increase your company's life science sales when you demonstrate your relevant scientific products at these events:
Read MoreTags: Midwest, UW, Midwest life science marketing events, WI, UW Madison, MI, MO, Madison, OH, St Louis, MSU, UCinci, Midwest Region, Univ of Michigan, Minn, Michigan State
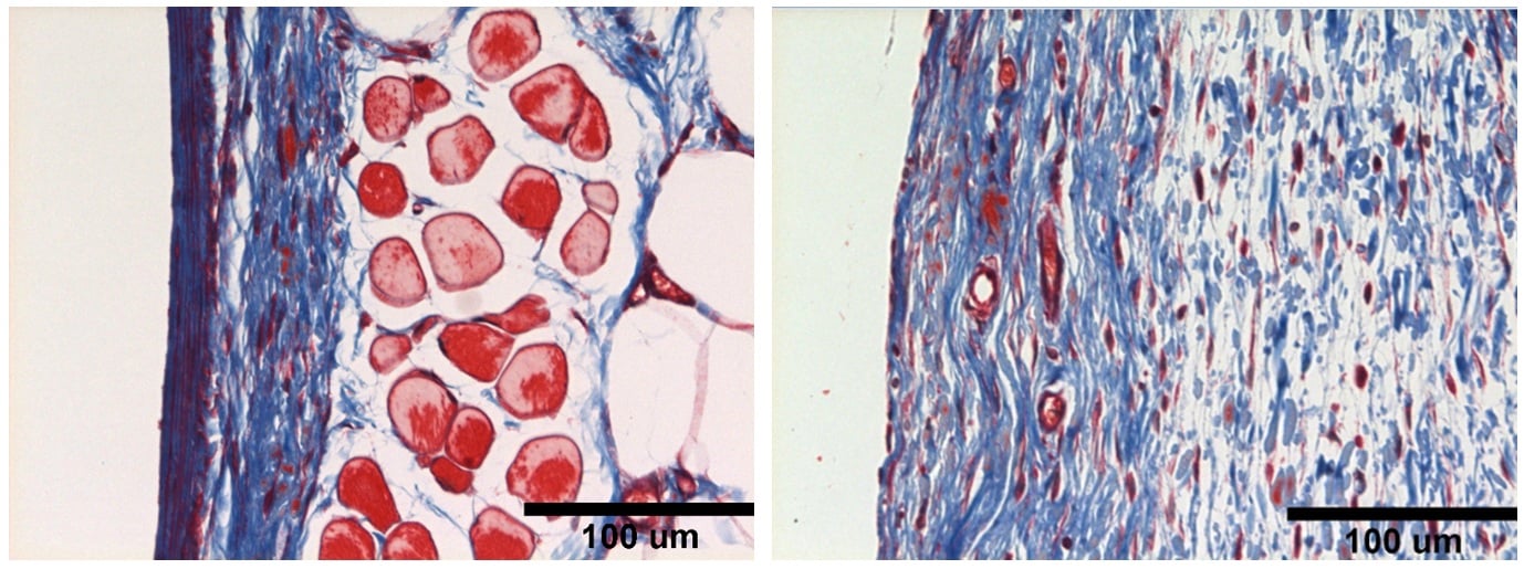
Ever since the 1940s, scientists, researchers, and medical professionals alike have been striving to understand why human bodies reject foreign objects, namely transplants. The first research to be done on this topic was by British researcher Peter Medawar during this time period, and for his founding of this scientific field of transplantation biology he received a Nobel Prize.
Tags: 2013, Washington, UW, University of Washington, WA, Seattle







